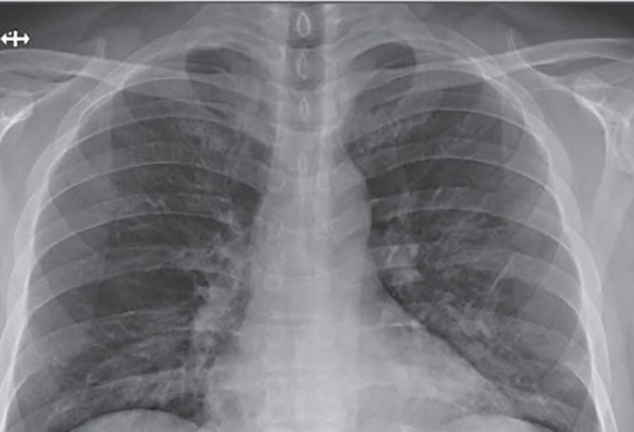
أفادت وكالة "رويترز"، بأنه "تمَّ تسجيل أول حالة وفاة بفيروس كورونا في لبنان".
كما ذكرت الوكالة أن المتوفي أتى من مصر وكان يتعاين في مستشفى المعونات في جبيل، ليتم نقله فيما بعد الى مستشفى رفيق الحريري الحكومي.
تــابــــع كــل الأخــبـــــار.
إشترك بقناتنا على واتساب


Follow: Lebanon Debate News