اخر صفحة

placeholder

الحرة
السبت 14 آذار 2020 - 09:43 الحرة
placeholder

الحرة

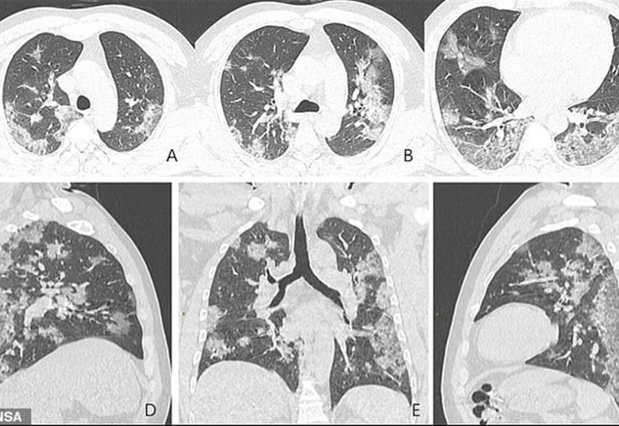
بالصور: "كورونا" في رئتي المُصاب

بالصور: "كورونا" في رئتي المُصاب

نشر موقع متخصص في التصوير بالأشعة المقطعية والسينية مجموعة من الصور قال إنها لرئتين مصابتين بفيروس كورونا المستجد.

علامات المرض التي بدت جلية في صور الأشعة، أظهرت تشابها كبيرا بين كوفيد-19 وفيروس السارس الذي أصاب الصين العام 2003.

وكشفت الأشعة السينية وجود بقع في الرئتين، وقال الموقع أن تلك البقع هي التي تفصح عن المرض لدى إجراء المريض الاختبار الأول أو عند اشتباه الأطباء في إصابته.

وذكر الموقع أن "التصوير المغناطيسي للجهاز التنفسي لامرأة تبلغ من العمر 54 سنة أظهر أن لون تلك البقع أبيض".

وأظهر تصوير مغناطيسي آخر أجري على صدر مريض صيني يبلغ من العمر 44 عاما، ذات البقع البيضاء، وهو ما جعل الأطباء يؤكدون أن تلك البقع هي في الحقيقة "التجسيد الفعلي لكورونا داخل الرئتين".

الرجل، بحسب الموقع، كان يعمل في سوق الأسماك في "مركز الوباء" ووهان الصينية، وهناك أصيب بالعدوى.

المريض وضع شهر كانون الأول الماضي تحت الحجر الصحي، بعد أن كان يشتكي من قشعريرة كبيرة مصحوبة بسعال حاد وجاف، ليجرى بعدها تشخيص إصابته بالالتهاب الرئوي الحاد، وتوفي بعد ذلك بأسبوع.

بعد وفاته، أجري له تصوير للرئتين وظهرت مرة ثانية نفس البقع البيضاء.

وذات البقع البيضاء ظهرت كذلك، يضيف الموقع، على رئتي امرأة صينية من مقاطعة سيتشوان، تبلغ من العمر 45 عاما توفيت بعد إصابتها بالفيروس عند بداية انتشاره الكبير مطلع يناير.

يذكر أن دراسة حديثة أكدت أنّ "الأشعة المقطعية للصدر أفضل من الاختبارات المخبرية في تشخيص كورونا في مرحلة مبكرة".

وهو ما جعل الأطباء يؤكدون أن الأشعة المقطعية يجب أن تكون طريقة الفحص الأولية لدى الاشتباه في كورونا لتسريع عمليات التشخيص المبكرة.

تــابــــع كــل الأخــبـــــار.

إشترك بقناتنا على واتساب

WhatsApp

علـى مـدار الساعـة

arrowالـــمــــزيــــــــــد

الأكثر قراءة